General Characteristics
| Age: | <20 years |
| Gender: | Male |
| Disease origin: | Clival |
| Disease status: | Recurrent, Metastatic |
| Metastatic site(s): | Neck, Parotid |
| Prior radiation: | Yes |
| Prior systemic therapy: | Yes |
| Source: | Chordoma Foundation/START |
| Notes: | This PDX model is part of a progression model from the same patient; CF555 was derived from a local recurrence of a clival chordoma. Other PDX models in this longitudinal series include CF459 and CF539. Timeline of tumor samples is: CF459 => CF539 => CF555. This PDX model was developed from the same tumor sample as the UM-Chor5C cell line. |
Molecular Features
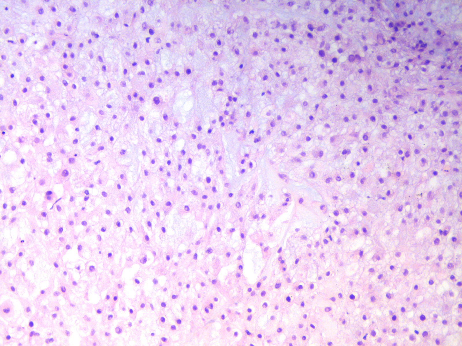
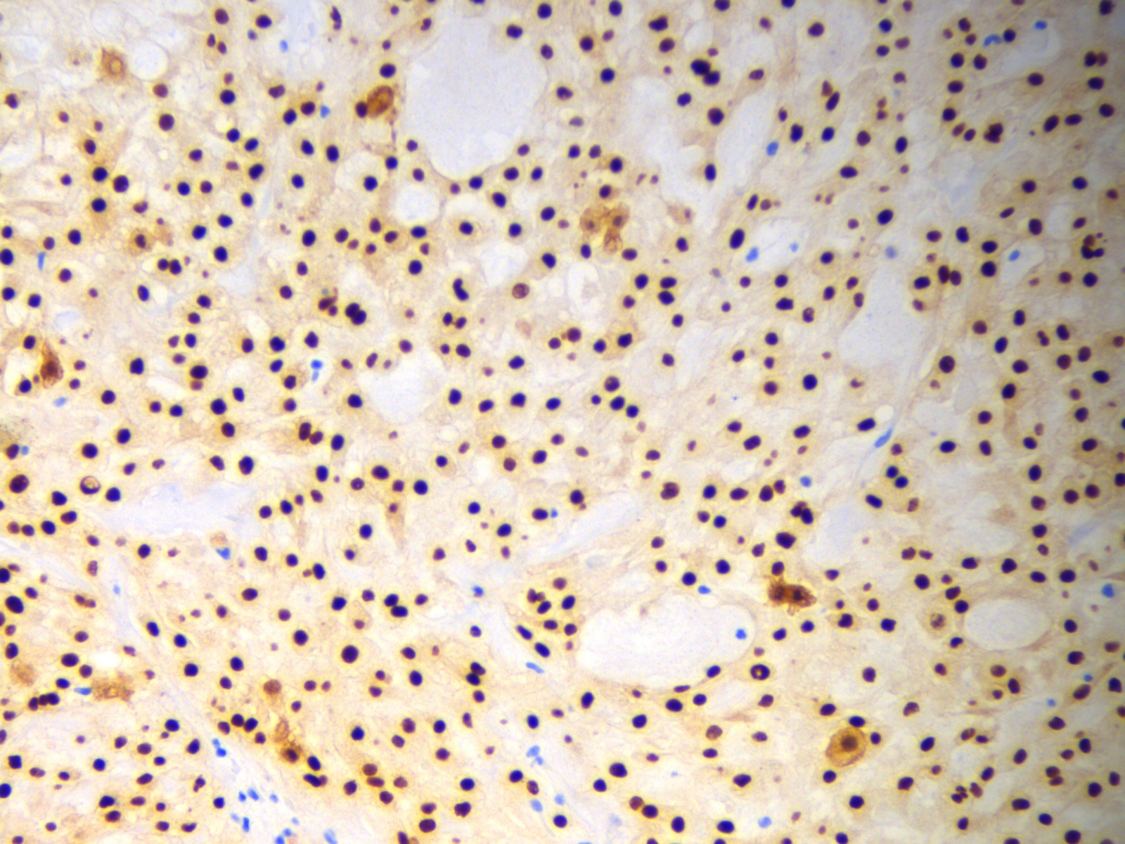
| Histological subtype: | Conventional |
| Histology features: | TBXT, H&E |
| Sequence data: | PedcBioPortal |
| SMARCB1 status: | truncating mutation Lys16* |
| Notable genomic alterations: |
Growth Characteristics
| Model animal strain: | NSG |
Publications
- Not yet published