General Characteristics
| Age: | 58 years |
| Gender: | Male |
| Disease origin: | Lumbar |
| Disease status: | Recurrent, Metastatic |
| Metastatic site(s): | Pelvis |
| Sample origin: | Lumbar |
| Prior radiation: | Yes |
| Prior systemic therapy: | Yes |
| Source: | Chordoma Foundation/START |
Molecular Features
| Histological subtype: | Conventional |
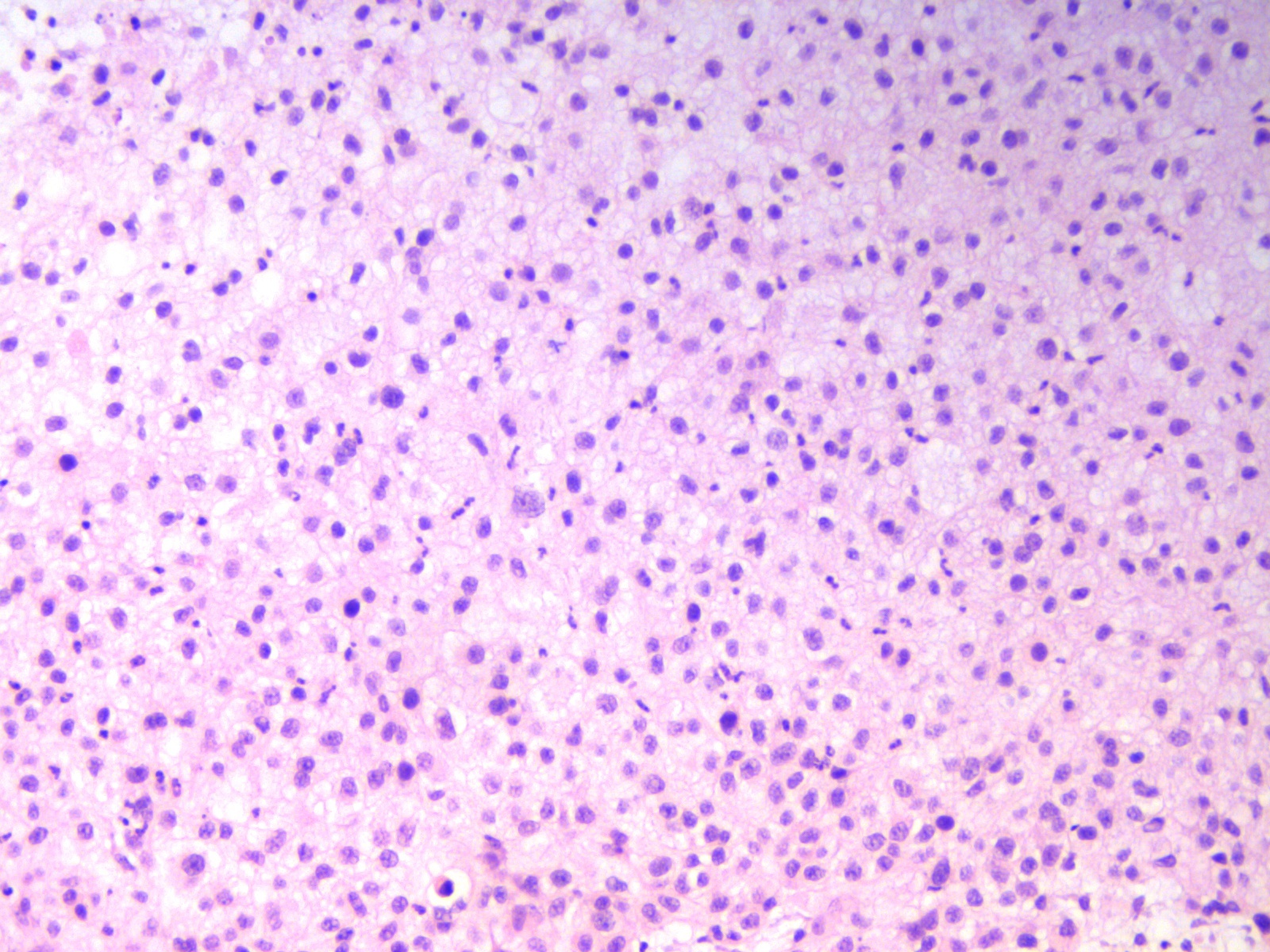
| Histology features: | TBXT, H&E |
| Sequence data: | PedcBioPortal |
| SMARCB1 status: | Wild-type |
Growth Characteristics
| Model animal strain: | Nude |
Publications
- Not yet published